“Once upon a time”
Cuando era
niño, aprendí que muchos cuentos, relatados en inglés, se iniciaban como la
reciente película de Tarantino: “Once
upon a time” y así quisiera titular este cuento de hoy… Once upon a time:
en la Universidad Central de Venezuela, que podemos abreviar como UCV; hubo una
vez, sí, años atrás, en un Instituto de la Facultad de Medicina de aquella
universidad, que se abreviaba como el IAP, cuando aprendimos que los glóbulos
rojos también llamados eritrocitos, en ocasiones dejan de ser redondos y toman
la apariencia de un plátano…
“Camburcitos”
les decía yo, y me imagino que para no confundir a los jóvenes residentes, no
les denominaba “guineítos”, como les diríamos los “entes” de la República de
Zulia… Estas cosas que relato se daban reiteradamente cuando con los médicos
residentes, muchas veces doctoras que estudiaban para hacerse patólogos, en el
llamado IAP de la UCV, donde actuaba como docente, mientras examinábamos
microscópicamente en un gran aparato arbitrariamente denominado “el cinco
cabezas”, las autopsias de cada quien. Todo está como si fuese ayer, muy presente
en mi mente y, ya habrán notado, ¡cómo se repite la preposición “ente”!
Este es
otra vez el tema que traigo hoy: paludismo, cambures y hemoglobina, o sea,
sangre sin que medie el conde Drácula en
el asunto. He descrito ya cómo y cuándo,
mirando las preparaciones microscópicas de casos de autopsias con los
residentes, aprendimos a reconocer los eritrocitos portadores de la hemoglobina
“S”. Hace ya unos años de esto, y recuerdo que he relatado la historia de
cuanto sabíamos gracias al por nosotros denominado sistema del “retrospectoscopio” que funcionaba con el
apoyo que nos daba el microscopio electrónico (ME). Este nos mostraba la
realidad de cualquier pregunta sobre morfología microscópica que nos
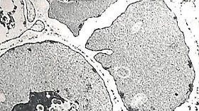
hiciéramos. Una era evidente y se relacionaba con la hemoglobina S. La veíamos en
el ME como cristales dentro de los eritrocitos (ver la foto) y ya sabíamos que esos eran
los que adoptaban microscópicamente la apariencia de plátano, así se modificaba
su forma y pasaban de ser redondos a lucir bajo la lente del microscopio de
luz, como “camburcitos”.
Cuando los
pacientes eran palúdicos, aquellos cristales de hemoglobina S se me antojaba
que no le dejarían espacio a los plasmodios. Nunca vimos casos de cambures en
autopsias de pacientes palúdicos y en ocasiones llegamos a preguntarnos si
acaso... ¿Sería que eso de la hemoglobina S es una ventaja y de alguna manera les
protegería contra el paludismo?… Teníamos casos de paludismo pero en ninguno
habíamos notado las características de los cristales de HbS ni vimos nada en la
membrana de los eritrocitos y de repente, nos llegó el caso ya comentado de los
Valles del Tuy. Aquel niño que se creía tenía hepatitis (https://bit.ly/2TaWw02) pero estaba infectado por un mosquito que
se alimentó de un paciente del foco del Estado Bolívar, y lucía unas
alteraciones electrón-densas muy visible en la membrana celular de los
eritrocitos...
Existen diversos mecanismos que
influyen en la organización estructural de la membrana de los eritrocitos de
sujetos con “anemia de células drepanocíticas”, o en la “ovalocitosis
hereditaria” que puede ser sencillamente consecuencia de productos del stress
oxidativo que tienda a inhibir el desarrollo normal de los parásitos (1). Se han descrito alteraciones
entre las proteínas exportadas por el parásito y el citoesqueleto conectado
con la membrana de los eritrocitos (2). El conocimiento de la patogénesis de la malaria se
amplió al examinarse factores relacionados con la adherencia de los parásitos a
los eritrocitos y de las mutaciones de las glicoproteínas (GYPB y GYPC) endémicas
en las poblaciones afectadas por el paludismo. Existen cinco tipos de hemoglobinopatías
frecuentes en estas poblaciones. En tres de ellas, ocurre la simple
substitución de un aminoácido en la cadena de beta globina. Lo vemos en la
drepanocitosis (HbS, β6Glu a Valina), cuando hay hemoglobina C (HbC,
β6Glu a Lisina) y con la hemoglobina E.
Se han estudiado con el ME casos
de paludismo, usulamente a p. falciparum,
e incluso se han examinado zancudos transgénicos (https://bit.ly/2kvaiwA). Los estudios iniciales de
Friedman y col (3, 4) señalaban el rol de las
variaciones de la tensión de oxígeno en la membrana del eritrocito de pacientes
heterocigotos con HbS (HbAS o rasgo drepanocítico), los homocigotos con
HbS(HbSS o enfermedad de células drepanocíticas), y finalmente el rasgo de
talasemia y la talasemia minor caracterizada por déficit en la síntesis de las cadenas ß de la
hemoglobina, con herencia
autosómica recesiva, o en menor proporción, autosómica dominante. Aparentemente los glóbulos rojos
de estos sujetos con hemoglobinas S, SS, o talasémicos no facilitan las
condiciones óptimas para el desarrollo de los plasmodios.
Con todo y esto, que para aquella
época yo desconocía, mi pregunta ahora, con otro “retrospectoscopio” es: ¿De
dónde creí saber que las alteraciones que vimos en la membrana de los
eritrocitos de aquel niño que venía de los Valles del Tuy eran por un plasmodium malarie? (ver foto)
No lo he hallado en ninguna paste y he tratado de sacudir la nube de internet,
y confieso que no tengo la referencia. Me imagino que la seguridad al decir que
era un caso de plasmodium malarie partía
del diagnóstico histológico de quien había detectado los cambios en los frotis
hematológicos característicos del plasmodium
malarie. Adicionalmente, creo suponer que por comparación con los otros,
aunque eran pocos casos que habíamos visto en autopsias de paludismo, me
llevaron a afirmar, en el caso que le mostré al doctor Gabaldón: son “alteraciones
características”. Hoy día, no tengo una respuesta certera y quedará para
quienes puedan investigarlo. Así que aquí, estamos y seguimos, pobres, o
quebrados, sin agua, gasolina ni comida, y encima pandémicos, como quién dice,
“pa
que más” o como diría el cuate aquel: “pos ni modo”.…
Referencias: 1-Gilson PR, Crabb BS. Morphology and kinetics of the three distinct phases of red blood cell
invasion by Plasmodium falciparum merozoites. Int J Parasitol 2009,
39:91–96. 2- Narda Mohandas, Xiuli An. Malaria and Human
Red Blood Cells. Med Microbiol Immunol. 2012 Nov; 201(4):
593–598 3-Friedman MJ, Roth EF, Nagel RL, Trager W- The role
of hemoglobins C, S, and Nbalt in the inhibition of malaria parasite
development in vitro. Am J Trop Med Hyg,
1979, 28:777–780 4- Friedman MJ. Oxidant damage mediates variant red cell resistance to malaria. Nature
1979, 280:245–247.
Maracaibo, miércoles 27 de mayo, 2020

No hay comentarios:
Publicar un comentario